Biología y Geología . 1º de Bachillerato
Elementos de los seres vivos
9.3 - Células
Inicio
Índice

Todos los seres vivos están formados por células

Son las unidades anatómicas y fisiológicas de los seres vivos

Presentan las funciones vitales

Las células de organismos pluricelulares mantienen su autonomía en

- Nutrición: Metabolismo propio

- Reproducción: Cada célula procede de una precedente

- Información: Mantienen la información de todo el organismo en seres pluricelulares

Las células no son homogéneas internamente; tiene componentes llamados orgánulos

Conceptos generales

Los seres vivos estamos formados por células.

Las células son pequeñas a escala humana.
Tienen tamaño de micras (milésimas de milímetro)

Cada célula procede de otra preexistente

Las células son las unidades estructurales y funcionales de los seres vivos

Los organismos pluricelulares:

- Son colonias celulares. De unas pocas a miles de millones

- Parecen una unidad por mecanismos de comunicación y coordinación entre sus células.

- Las células mantienen toda su información. El ADN de el organismo está en cada célula completo

- Siguen manteniendo todo el metabolismo. Hay que abastecerlas de nutrientes y eliminar sus desechos

Estas características son consecuencia de su origen evolutivo:
El aumento de tamaño de los animales y plantas se ha producido por un aumento en número de células y especialización de las mismas Fue más sencillo hacerse grandes con células que ya funcionan correctamente activando y anulando genes
Ver Evolución humana

Las células tienen partes especializadas llamadas orgánulos

Los elementos funcionales de las células son las proteínas
Una célula típica nuestra tiene del orden de E10 proteínas de unos 10.000 tipos diferentes

La información de todas las células se encuentra almacenada en forma de ADN de doble cadena y se expresa y se regula su expresión mediante diversos tipos de ARN

Los elementos estructurales celulares son variados:

    - Lípidos que forman membranas
    -
    Proteínas que forman el citoesqueleto
    -
    Polisacáridos que forman la pared celular o el glicocalix externo a la membrana
    - Peptidoglucano de la pared bacteriana...

Las células mantienen su capacidad para realizar las funciones vitales autónomamente (nutrición, relación, reproducción).

Elementos fundamentales

Pared celular
Protectora

Membrana Plasmática
Regula entrada y salida de sustancias

Citoplasma
Líquido contenedor de orgánulos. Metabolismo y transporte de sustancias

Material nuclear (separado en núcleo o no)
ADN y proteínas para expresión de los genes

Forma

Muy diversa dependiendo del tipo celular
Si no necesitan tener mucha superficie son esféricas.

Existen formas variables para funciones determinadas
- Alargadas - Algo más de superficie . Bacterias tipo bacilo
-
Estrelladas - Muchas superficie o conexiones con otras células . Células nervisas de animales
- Poliédricas - Contacto con otras células . Plantas

Para una misma célula su forma puede se constante o variable
El tiempo que tardan en modificarse también es muy diverso.

Las células con pared tienen formas más estables, se modifican por crecimiento
Bacterias, hongos, plantas algunos protistas

Las células sin pared pueden cambiar más fácil y rápidamente.
Protistas amebas, ciliados, celulas animales

 

Tamaño

Variable
Del orden de 1 µm a 100 µm.

Las células procariotas suelen ser más pequeñas

Algunas pueden ser muy grandes plurinucleadas.

Tipos de células

Por su organización interna pueden diferenciarse dos tipos de células; Procariotas y eucariotas.
En un organismo pluricelular eucariota todas sus células son eucariotas.
Estos tipos celulares se separaron evolutivamente hace miles de millones de años.

Procariotas

    Más sencillas. Pocos orgánulos citoplasmáticos. Sin núcleo patente

Eucariotas

Más complejas. Muchos orgánulos citoplasmáticos. Con núcleo patente

- Pueden se uninucleadas si presentan un único núcleo. Es el caso más frecuente.

- Pueden ser plurinucleadas si presentan varios núcleos. En este caso se habla de
-- plasmodios
si los núcleos se han generado a partir de un núcleo celular inicial sin separación del citoplasma
-- sincitios si las células son plurinucleadas por fusión de otras células.

- Pueden existir células eucariotas anucleadas (sin núcleo). pero no viven mucho tiempo al no poder formar nuevas proteínas celulares al carece de ADN
Ej Eritrocitos de algunos mamíferos

Número

Aisladas
Sin contacto con otras células. Organismos unicelulares.

Agregados sin diferenciar
Grupos pequeños o grandes de células todas semejantes.
Frecuentes en muchos procariotas que forman películas

Plurinucleadas
Células eucariotas con varios núcleos en un único citoplasma
Frecuente en Protistas y Hongos

Pluricelulares sencillas
Presentan diferentes tipos celulares organizados en tejidos muy sencillos
Se organizan de esta manera diversos tipos de algas, hongos y las esponjas

Pluricelulares complejas
Desarrollan tejidos complejos y órganos:
Dos grupos de organismos presentan esta organización: los Animales (metazoos) y las Plantas (Metafitas)
Los animales grandes pueden tener un número muy elevado de céluas - E13 . E14


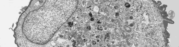
Orgánulos celulares

Célula eucariota
Principales orgánulos que puede tener una célula eucariota
Orgánulo
Composición Estructura Función
Pared celular Variada:
Polisacáridos estructurales
Sales
Proeínas
Cubierta cerrada Soporte físico.
Protección física.
Protección química.
Membrana plasmática Membrana simple de lípidos y proteínas Membrana cerrada Límite celular: aislamiento
Recepción de estímulos
Carga eléctrica celular
Entrada y salida de sustancias de pequeño tamaño
Citoplasma
Hialoplasma Agua y solutos Líquido de viscosidad variable Medio interno
Trasporte de sustancias
Metabolismo de muchas sustancias
Ribosomas ARN y Proteínas Orgánulos pequeños
En citoplasma, REPg y mitocondrias
Síntesis de proteínas
Retículo endoplasmático Membranas y contenido
A veces con ribosomas
Sacos o tubos cerrados
Estructura cambiante
Síntesis de proteínas de secreción
Síntesis de lípidos de secreción
Aislamiento de sustancias
Aparato de golgi Membranas contenido Grupo de membranas apiladas Empaquetamiento de sustancias
Formación de lisosomas y vesículas de secreción
Vesículas de secreción
Lisosomas
Vacuolas
Membranas contenido Vesículas y contenido Digestión intracelular
Vertido de sustancias al exterior
Acumulación de sustancias
Microtúbulos Proteínas Tubos huecos Trasporte de sustancias. Movimiento
Estructura celular. Forma
Formación de centriolos
Formación de cilios y flagelos
Microfilamentos Proteínas Fibras de distinto grosor Estructura celular
Movimientos celulares
Anclaje de orgánulos
Mitocondrias Doble membrana
Contenido
Ribososmas y ADN
Orgánulos grandes con doble membrana Respiración celular
Plastos
Cloroplastos
Doble membrana
Contenido
Ribososmas y ADN
Orgánulos grandes con varias membranas internas.
Pigmentos fotosintéticos
Fotosíntesis.
Secundariamente otras funciones. Colores, acumulación de reservas
Núcleo
Membrana nuclear Membrana y poros Membrana doble con poros Regulación de entrada y salida de sustancias del núcleo
Cromatina
cromosomas
ADN, Proteínas reguladoras y estructurales, ARN Largos filamentos Información genética
Nucleolo ARN proteínas Grumos Formación de ribosomas


Célula procariota
Principales orgánulos que puede tener una célula procariota
Orgánulo
Composición Estructura Función
Pared celular Peptidoglucano. Fosfolípidos. Cubierta cerrada Soporte físico.
Protección física.
Protección química
Membrana plasmática Membrana simple de lípidos y proteínas Membrana cerrada.

Límite celular: aislamiento
Recepción de estímulos
Carga eléctrica celular
Entrada y salida de sustancias de pequeño tamaño
Parte del metabolismo.

Citoplasma
Hialoplasma Agua y solutos Líquido de viscosisdad variable Medio interno
Trasporte de sustancias
Metabolismo de muchas sustancias
Lamelas procariotas Membranas contenido Membranas interas cerradas Fotosíntesis
Quimiosíntesis
Ribosomas ARN y Proteínas Orgánulos pequeños
En citoplasma
Síntesis de proteínas
Flagelo procariota Protéina y rotor en base Filamento alargado Movimineto en medio
Pili Prolongaciones fibrosas   Adherencia. Intercambio genético
Cromosoma ADN, Proteínas reguladoras Circular Información genética
Células en Biología de 2º de Bachillerato

 

Vínculos

Replicación y transcripción  
Respiración  
Interior de una célula  


 

  Inicio
  Índice
  Siguiente