Biología y Geología . 1º de Bachillerato
Animales

11.3 - Tejidos animales

 
Inicio
Índice

Los animales son organismos pluricelulares pero sus células carecen de una pared resistente.
Esto facilita la movilidad de las células pero dificulta las uniones resistentes

Las células animales pueden estar unidas por sus membranas o dispersas en una matriz acuosa con fibras.

En animales complejos existen muchos tipos celulares diferentes, sobre un centenar o más.

Las células se organizan en agrupaciones llamadas tejidos.
En los tejidos se encuentran células diferenciadas que mantinenen el tejido o realizan funciones importantes para el organismo y células sin diferenciar (células madre) que permanecen en el tejido para proliferar cuando las células diferenciadas mueran y así poder sustituirlas.

Clasificación de los tejidos animales

Nombre
Tipos
Función
 
Revestimiento
Separación, protección secreción
Glandular
Conectivos
Conjuntivo
Unen otros tejidos
Cartílago
Óseo
Sangre y linfa
Liso
Movimiento por contracción
Estriado
Cardiaco
Información


Tejidos Epiteliales

Los tejidos epiteliales están formados por láminas continuas de células
De este modo limitan el paso de sustancias de un lado a otro del epitelio
Existen epitelios que actúan como capas separadoras: epitelio de revestimiento y otros que se encargan de fabricar y emitir secreciones externas o internas: epitelio glandular

Debido a su función los epitelio tienen células íntimamente unidas entre sí, de modo que no existe matriz extracelular.
Para ello tienen diversos tipos de uniones intercelulares para aumentar la resistencia (desmosomas) o impedir el paso de sustancias (uniones en cremallera)

Los epitelios se clasifican:

  • Según su función:
    • Epitelio de revestimiento
    • Epitelio glandular
  • Según la forma de las células que lo componen
    • Células planas
    • Células cúbicas
    • Células cilíndricas
  • Según el número de capas celulares
    • Monoestratificados: Una sola capa
    • Pluriestratificados : Varias capas
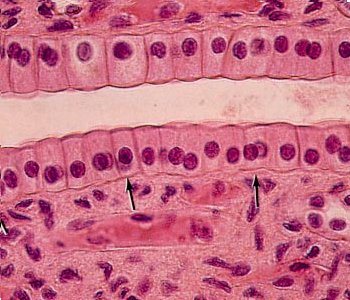
    • Pseudoestratificados: parecen formados por más de una capa de células, porque éstas se disponen a distintas alturas y suelen ser cilíndricas. En realidad, todas están en contacto con la capa basal. Frecuentemente, presenta cilios en la superficie, como, por ejemplo, en la tráquea

Las funciones de los epitelios son:

  • Protección - Del exterior o dentro del cuerpo
  • Separación - Zonas de diferente composición. Conductos como vasos sanguíneos y digestivo.
  • Absorción o intercambio - Toma de sustancias. Digestivo, Respiratorio, excretor
  • Secreción - Expulsión de sustancias. Glándulas
Tejidos epiteliales en Apuntes de Anatomía Aplicada

Epitelio de Revestimiento

Mucha renovación
Volumen de células y extensión de contacto tipos de uniones dependen de extensión a soportar
Todo lo que entra o sale pasa a través de epitelios de revestimiento

Resumen de tejidos epiteliales de revestimiento
Tipos Características Función
Ejemplos
Planos Células muy delgadas Intercambio
Pulmones
Vasos sanguíneos
Cúbicos Células prismáticas Conducción
Colector renal
Cilíndricos Células prismáticas alargadas Absorción. Protección Intestino
Epidermis muchos invertebrados
Pluriestratificado plano Varias capas planas Protección Piel
Pluriestratificado cúbico Varias capas cúbicas ConducciónContención Conductos sudoríaros
Vegiga
Pluriestratificado cilíndrico Varias capas cilíndricas Conducción Conductos mamarias
Pseudoestratificado Como en dos estratos no nítidos Conducción Tráquea

Diferenciaciones en algunos epitelios

  • Ciliados Tráquea y bronquios. Exterior invertebrados pequeños.
  • Microbellosidades: Intestino de vertebrados
  • Queratinizado: Epitelio vertebrados
  • Quitinizado: Artrópodos
  • Mineralización: Conchas . Dientes
Algunos epitelios de revestimiento

   
  Epidermis de vertebrados: formado por una capa basal sobre la que reposan varias capas de células cúbicas, que se van transformando en planas conforme se llega a la superficie, aumentando también de forma progresiva la queratinización (las últimas están completamente queratinizadas). Existe epitelio pluriestratificado sin queratinizar recubriendo la boca, el ano, la vagina, la uretra...

 


Epitelio Glandular

Función: Secreción de sustancias
Pueden segregarlas continuamente o retenerlas hasta que explota la célula.

  • Número de células glandulares:
    • Células aisladas en otros epitelios. Ej. Caliciformes -> Mucus
    • Células agrupadas
  • Estructura de las glándulas
    • Glándulas simples
    • Glándulas ramificadas
  • Forma de las glándulas
    • Glándulas tubulares
    • Glándulas acinosas
    • Glándulas alveolares
    • Glándulas simples o compuestas

  • Por el lugar donde vierten su contenido las glándulas se pueden clasificar en:
  • Exocrinas
    Vierten al medio externo o a alguna cavidad que da al exterior, por ejemplo al digestivo
    Por ejemplo, las glándulas sebáceas, las salivares...
  • Endocrinas
    Vierten al torrente sanguíneo.
    Las secreciones de glándulas endocrinas se llaman hormonas.
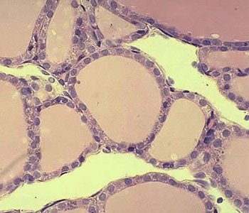
    Un ejemplo de glándula endocrina es el tiroides.
  • Mixtas
    Tienen productos de secreción endocrina y exocrina.
    Por ejemplo, el páncreas tiene secreción exocrina cuando libera peptidasas al tubo digestivo, y endocrina si libera insulina a la sangre.
Algunos epitelios glandulares
 



Tejidos Conectivos

Conectan otros tejidos.
Suelen ser los tejidos más abundantes en los animales
.
Se forma por células libres inmersas en una matriz intercelular fabricada por ellas mismas.
La matriz está formada esencialmente por agua y puede llevar:
- Fibras colágenas resistentes
- Fibras elásticas que recuperan la forma
- Fibras reticulares. Conexión
- Precipitados minerales

Los tejidos conectivos suelen clasificarse en:

  • Conjuntivo
  • Adiposo
  • Cartilaginoso
  • Óseo
  • Sanguíneo.

Las células de los conectivos derivan de unas células embrionarias, llamadas mesenquimatosas, que van diferenciándose en el desarrollo embrionario y originando las células de cada uno de los tejidos.
A las células sin diferenciar se les nombra con el sufijo "blasto" y a las diferenciadas el sufijo "cito"
- Conjuntivo : fibroblastos forma fibrocitos
- Cartílago :
condroblastos forman condrocitos
- Óseo : osteoblastos forman osteocitos.
- Sanguíneo, la célula mesenquimatosa origina un hemocitoblasto que se diferenciará en tres líneas: una generará proeritroblastos (luego eritrocitos); otra, mieloblastos (luego leucocitos y macrófagos); y la última, megacariocitos (luego plaquetas).

La matriz es más o menos líquida según el tipo de tejido:
- Es líquida con capacidad de coagulación el tejido sanguíneo
- En el adiposo y conjuntivo es más o menos gelatinosa variando según los tipos
- En el cartilaginoso es fibrosa,
- En el óseo es dura debido al depósito de sales (fundamentalmente fosfato y carbonato cálcicos).

Los conectivos son nexo de unión entre el resto de tejidos y órganos; suponen un sustento para el cuerpo y sus sistemas de órganos, a los que protegen.

Tejidos conectivos en Apuntes de Anatomía Aplicada

Tejido Conjuntivo

Células:

  • Fibrocitos
    Fabrican y mantienen las fibras
  • Macrófagos
    Células limpiadoras
  • Linfocitos, granulocitos y células dendríticas: Defensa frente a infecciones
  • Adipocitos
    Reserva de energía en forma de triglicéridos (grasa). Defensa frente a daños mecánicos.
    Aislamiento térmico

Matriz

  • Agua
    En gran cantidad.
    Permite trasporte de sustancias y movilidad
  • Fibras colágenas
    Resistencia a la tracción
  • Fibras elásticas
    Recuperación tras una deformación

El tejido conjuntivo está atravesado por vasos sanguíneos y nervios.

 

Tipos Características Función
Localización
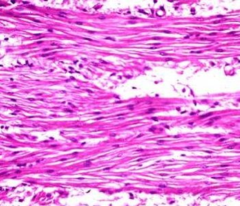
Laxo Pocas fibras. Relleno con posibilidad de movimiento Haces musculares.
Dermis
Denso Gran cantidad de fibras colágenas Resistencia a tracción Tendones. Ligamentos.
Dermis
Adiposo Muchos adipocitos Reserva de energía
Aislamiento térmico
Defensa frente a daños físicos
Dermis.
Cojinetes de manos y pies.
Tras riñones

Tejido Adiposo

A veces es consideredo un tipo de conjuntivo

Células

  • Adipocitos
    Citoplasma con grandes gotas de lípido
  • En menores cantidades el resto de las células del tejido conjuntivo

Matriz

  • Fibras colágenas y elásticas
Tipos Características Función
Localización
Pardo Células con abundantes vesículas Generación de calor  
Blanco Gélulas con una gran gota de grasa Aislante
Reserva de lípidos
Bajo la piel en homeotermos.
Otras en poiquilotermos

Tejido Cartilaginoso

Células

  • Condriocitos
    Fabrican fibras.
    Quedan aislados y sin movimiento.

Matriz

  • Fibras Abundantes colágenas y elásticas de pequeño tamaño
    Resistente a la presión y tracción.

No tiene vasos ni nervios

Función

Sostén
Flexibilidad variable

Tipos Características Función
Localización
Hialino
Fibras colágenas.
Rodeado de fibras elásticas
Resistencia a la presión Primordios de huesos
Esqueleto condictrios.
Nariz, externón
Elástico
Gran cantidad de fibras elásticas Flexibilidad Pabellones auditivos
Fibroso
Muchas fibras.
Predominantemente colágenas
Resistencia Discos intervertebrales.

Tejido Óseo

Propio de vertebrados

Células

  • Osteocitos
    Células muy ramificadas
    M antienen el hueso
    No pueden moverse. No se dividen
  • Osteoblastos
    Fabrican matriz del hueso.
    Dan lugar a osteocitos al quedar aislados
  • Osteoclastos
    Células ameboides plurinucleadas.
    Destruyen matriz del hueso

Matriz

  • Sales inorgánicas
    Apatito: Fosfato cálcico
    Resistencia a la presión
  • Fiobras colágenas
    Reistencia a la tracción
  • Fibras elásticas
    Osteina
    Resistencia a tracción
  • Agua

El tejido óseo tiene aproximadamente un 25% de agua, 45% de precipitados minerales y 30% de materia orgánica

 

 

En el tejido óseo las células se organizan en una distribución concéntrica a un canal central por el que circulan nervios, y vasos sanguíneos: el Canal de Havers

Las células aisladas en la matriz se denominan lagunas óseas

Tipos Características Función
Localización
Compacto Grandes masas concéntricas Resistencia Huesos largos
Cubierta huesos menores
Esponjoso Trabéculas. Muchos espacios Resistencia a presión Médula ósea
 

Sangre

Conectivo con matriz líquida. Capaz de coagularse
Función de transporte de sustancias.

Variable en diferentes tipos de animales.

Células

  • Transportadoras
  • Defensivas
  • Coagulantes

Matriz

  • Líquido:
    Suero sanguíneo. Debe transportar:
    - Alimentos en disolución
    - Desechos en disolución
    - Sales en disolución
    - Proteínas transportadoras (Oxígeno, hierro, lípidos, ...)
    - Proteínas defensivas
    - Proteínas coagulación
    - Hormonas
Sangre en Vertebrados
  • Células
    • Eritrocitos . Hematíes o Globulos rojos
      45% del volumen de la sangre
      Son deformables .
      Se encargan del transporte de oxígeno mediante una proteína que se une reversiblemente a él: la hemoglobina .
      Con núcleo o sin el dependiendo del grupo
    • Leucocitos
      Células sin pigmentos. Movimientos ameboides. Pueden abandonar la sangre y viajar por otros tejidos
      • Monocitos . Macrófagos
        Grandes limpiadores de células muertas y cuerpos extraños
      • Granulocitos
        Defensa frente a microbios marcados o comunes
        Defensa frente a parásitos. Inflamación .Anticoagulantes
      • Leucocitos
        Inmunidad. Anticuerpos y células asesinas (linfocitos B y T)
    • Trombocitos
      Flagmentos celulares que contienen un factor de la coagulación

 

Las células sanguíneas de vertebrados se oreiginan en la médula ósea.
Todas las células proceden de una célula madre hematopoyética

Origen de las células sanguíneas de vertebrados

Sangre en humanos
Tipo celular Tamaño µm Concentración (u/mm3) Forma Función
Vida media
Eritrocitos
6-8
4e+13
Circulares. Anucleados
Bicóncavos
Transporte O2
Llevan hemoglobina
120 días
Granulocitos
  Neutrófilos
10-12
3e+07
Núcleo plurilolubulado Fagocitosis microbiana pocos días
Acidófilos
Eosinófilos
10-12
70420
Núcleo bilobulado Fagocitosis.
Reacción alérgica. HistaminaDefensa parasitaria
8 -12 días
Basófilos
9-10
70
Núcleo redondeado Inflamación. Anticoagulantes
Lleva heparina
 
Linfocitos
7-8
1e+07
Núcleo grande redondeado Defensa inmune
- Anticuerpos
- Destrucción celular
días a años
Monocitos
14-17
1e+05
Núcleo arriñonado Limpieza restos meses a años
Trombocitos
2-3
2e+11
Anucleadas Coagulación 8 - 12 días

En vertebrados existe otro líquido circulatorio denomonado Linfa

La linfa se asemeja al líquido tisular y al plasma sanguíneo
En la linfa no hay eritrocitos ni plaquetas pero tiene más linfocitos.




Tejido Muscular

Los animales poseen un tejido contráctil especializado: el tejido muscular
Está formado por células con proteínas contráctiles internas: actina y miosina.
La contracción se produce como consecuencia de el recorrido de unas proteínas respecto a otras
Estas proteínas contráctiles se denominan miofibrillas
Las células musculares responden a cambios iónicos citoplásmicos.


Las miofiblillas se encuentran ordenadas en citoplasma.

Las células son capaces de contracciones y relajaciones rápidas.

El tejido muscular tiene un intenso consumo energético (en contracción y algo en relajación)

Las células musculares poseen entre ellas uniones celulares fuertes que impiden su rotura
Las uniones a otros tejidos se realizan mediante conjuntivos densos

El tejido muscular es el responsable de la mayoría de los moviminetos en los animales
Estos movimientos se producen por:
- Palancas entre partes del esqueleto articulado
- Contración de un esqueleto hidrostático
- Cierre de orificios (esfínteres)

Tejido muscular Liso

Células ahusadas con núcleo central: Miocitos
Longitud de 50 a 200 µm en general

Contracción no muy rápida. Duradera.
Poco gasto energético
Inervación no muy importante. Generalmente por el sistema nervioso visceral
Uniones laterales con otras células
Fibrillas dispuestas en la dirección del eje mayor

Forman capas o láminas

Localizado en vasos sanguíneos. Paredes del digestivo. Muchos invertebrados

 

Tejido muscular Estriado

Músculo más especializado
Células muy largas. Plurinucleadas (hasta cientos de núcleos). Miden hasta varios cm de longitud x 10-100 µm diámetro. Miocito estriado
Los núcleos y resto de orgánulos se localizan en la periferia celular para facilitar la contracción.
Retículo sarcoplásmico importante
Miofibrillas muy organizadas. Dan aspecto bandeado al microscopio

Contracción muy rápida.
Existen varios tipos de fibras
- rojas duraderas
- blancas más rápidas

Forman haces de células separadas por tejido conectivo. Conjuntivo laxo
Por el conjuntivo van los vasos y nervios
Músculos rodeados por un cojuntivo más denso:
Suelen conectar con el esqueleto mediante tendones
Muy enervadas por SN central

Tejido muscular Cardiaco

Músculo estriado especial localizado en el corazón de los vertebrados.
Posee fibras uninucleadas y ramificadas
Provoca contracciones automáticas y rítmicas

Tejido muscular en Apuntes de Anatomía Aplicada



Tejido Nervioso

Tejido especializado en la transmisión de información
Se basa en células muy especializadas denominadas Neuronas
Pasra el mantenimineto de estas neuronas el tejido nervioso posee gran cantidad de células auxiliares con diferentes funciones. Al conjunto de células auxiliares se les denomina células Gliales .
El número de células gliales es del orden de cinco veces superior al de las neuronas.

Neuronas

Células ramificadas escitables. A veces prolongaciones muy largas (hasta 1m en humanos
Pueden tener formas muy variables pero se caracterizan por ser células muy ramificadas

Poseen los siguientes elementos

  • Dendritas
    Expansiones ramificadas de diámetro decreciente.
    Se encargan de la receppción de estímulos
  • Cuerpo celular.
    Se encarga del metabolismo de la neurona
    Integra las señales procedentes de las dendritas
  • Axón.
    Expansión de diámetro constante
    Se encarga de trasmitir el impulso al siguiente elementos del sistema
    Puede estar aislado por células gliales
  • Pies terminales
    Expansiones finales de los axones que vierten neurotrasmisores

Impulso nervioso

La trasmisión de información que realiza una neurona es de tipo eléctrico y muy rápida
Se basa en la carga eléctrica de la célula nerviosa que se encuentra, en reposo, cargada negativamente: Polarizada
El impulso nervioso se crea por la desplarización de las dendritas por entrada de iones con carga positiva
Si varias dendritas se despolarizan se depolariza el cuerpo neuronal
Si el cuerpo neuronal se despolariza se desencadena en el axón una despolarización que lo recorre rápidamente hasta alcanzar los pies terminales
En los pies terminales la despolarización hace que vesículas cargadas de neurotrasmisores viertan su contenido en la sinapsis

Para que la neurona vuelva a enviar un nuevo impulso ha de repolarizarse

Sinapsis

Entre la neurona y la célula a la que manda información hay un pequeño espacio denominado sinapsis

En la sinapsis las neuronas vierten sustancias químicas llamadas Neurotrasmisores
Los neurotrasmisores actúan muy poco tiempo en la sinapsis pues son rápidamente secuestrados o destruídos.

Diferentes tipos de neuronas vierten diferentes neurotrasmisores con diferentes acciones

Células auxiliares

Las neuronas son células muy excitables y muy especializadas
Para su correcto funcionamiento han de estar asistidas por diversas células llamadas en su conjunto células gliales o glía

Tipos de células gliales

  • Aislantes
    Células de Schwann en los nervios y , Oligodendrocitos en en encéfalo.
    Se encargan de envolver los axones en una vaina de mielina para lograr una mayor velocidad de transmisión
  • Microglia.
    Son células pequeñas muy ramificadas
    Se encargan de la limpieza y protección del tejido nervioso.
  • Astrocitos.
    Células ramificadas
    Se encargan de la nutrición neuronal.
    Conectan los capilares sanguíneos copn el cuerpo neuronal
    Son necesarios para aislar de sustancias químicas que pudieran interferir con las neuronas.
Organización del tejido nervioso

Se organiza en

  • Ganglios nerviosos o sustancia gris
    Predominan los cuerpos celulares
  • Nervios o sustancia blanca
    Predomina la fibras nerviosas. Mielínicas o amielínicas.
    Rodeadas de conjuntivo para darles resistencia y protección
  • Plexos
    Cuerpos celulares u fibras mezclados
   
   

 

Tejido nervioso en Apuntes de Anatomía Aplicada



Vínculos


Biodidac Imágenes de tejidos animales
Picasa tejidos Imágenes de tejidos animales
Kalipedia Imágenes de tejidos animales
Internet guide to veterinary microscopic anatomy Imágenes de tejidos animales
Schaefer lab Imágenes de tejidos animales

  Inicio
  Índice
  Siguiente